27/04/2026
08:34 AM

Hallan dos fetos dentro de una recién nacida en Hong Kong

  • Actualizado: 11 febrero 2015 /

La niña fue operada y se recupera satisfactoriamente; este tipo de casos son muy extraños y no se conoce con precisión su origen.

Pekín, China.

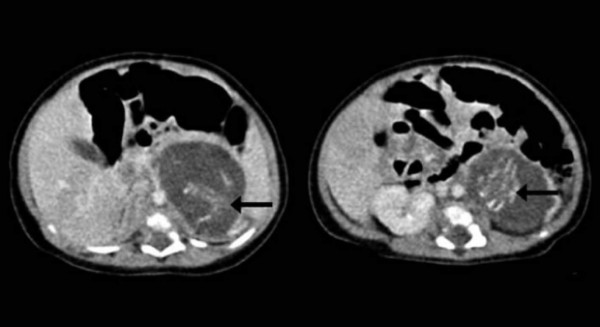
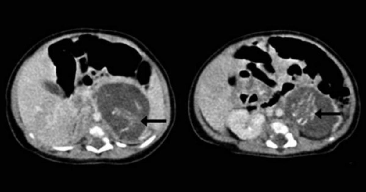
Un equipo de doctores describió el caso de una bebé recien nacida 'embarazada de gemelos' como un hecho médico extremadamente raro, tras encontrar lo que parece ser un par de fetos dentro del cuerpo de la bebé.

Los festos estaban unidos por cordones umbilicales en una clase de masa de placenta. Cada uno tenía cuatro miembros, piel, costillas, intestinos y tejido cerebral primitivo, de acuerdo con la publicación.

Lea más: Indemnizan a familias de bebés intercambiados en Francia

Además: Dejan bebé abandonado en una caja y un carro lo aplasta

La razón de este extraño suceso, según afirman los especialistas, se debió a una fecundación errónea en el vientre de la madre, la cual habría producido que los fetos (sus dos hermanos) se gestaran en su interior. El caso, con todo, es conocido. Se llama 'fetus in fetu' y sólo se produce una vez en cada 500,000 nacimientos.

Las dos formas encontradas tenían diferentes pesos pero igual desarrollo de órganos, coincidente con un feto de 10 semanas de gestación. Tenían espinas dorsales y “genitales externos ambiguos”, aunque no contaban con cráneos.

La madre de la niña tuvo un ultrasonido normal durante el inicio de su embarazo, sugiriendo que los otros dos fetos “pueden haber sido pequeños fetos parásitos que habían crecido poco a poco” en la niña, según el estudio.

El caso fue una de 'esas cosas raras que hacen que el mundo siga en pie', aseguró el doctor Nicholas Chao a la CNN, uno de los cirujanos que operaron éxitosamente a la bebé y quien dijo nunca había visto algo así durante su carrera en la pediatría.