29/03/2026
12:00 AM

Cinco secuelas poco conocidas que dejaron los atentados del 11-S

  • Actualizado: 11 septiembre 2016 /

Miles de habitantes de esa zona padecen de patologías severas.

Nueva York, EUA

Dolores de cabeza, abortos, cambios en el cerebro, aumento de la sensibilidad general al miedo, problemas pulmonares son algunas de las secuelas médicas menos conocidas del atentado terrorista que el 11 de septiembre de 2001 sumió en el caos a la ciudad de Nueva York.

1

Menos niños

Foto: La Prensa

Los abortos han sido numerosos después del atentado.
Un estudio de la Universidad de California (EE UU) reveló que, debido al estrés causado por el shock psicológico de los ataques terroristas del 11-S, el número de abortos de varones aumento considerablemente en otoño 2001, y en diciembre de ese año nacieron muchos menos niños que niñas. Según publicaban los autores en la revista BMC Public Health, en muchas especies los períodos de estrés reducen el número de crías de sexo masculino que nacen.

2

Cefaleas

Foto: La Prensa

Muchas de estás se relacionan con el daño hecho por el polvo de los escombros.
Los trabajadores y residentes de la Zona Cero expuestos al polvo y los gases producidos por el colapso del World Trade Center en septiembre de 2001 sufrieron más dolores de cabeza en los años siguientes, según un estudio llevado a cabo por Sara Crystal, de la Universidad de Nueva York. Las personas que quedaron atrapadas en la nube de polvo inicial son las que más jaquecas han padecido desde entonces.

3

Bomberos

Foto: La Prensa

Autoridades y cuerpos de rescate fueron afectados por le polvo.
Los casos de sarcoidosis, un tipo de enfermedad inflamatoria de origen desconocido que afecta en el 90% al pulmón, aumentaron espectacularmente en los años siguientes al 11-S entre los bomberos que intervinieron en la Zona Cero, según un estudio de la Escuela de Medicina Albert Einstein y la Universidad de Nueva York publicado en la revista médica Chest en 2007.

4

MIEDO

Foto: La Prensa

Familiares de las víctimas lamentan su pérdida en el 'Ground Zone' de Manhattan.
Traumas como los del 11-S hacen que el cerebro, concretamente una región conocida como amígdala, se vuelva más sensible al miedo, incluso para personas sanas que vivían a centenares de kilómetros de la tragedia, según un estudio de la Universidad de Cornell que publicaba la revista Emotion. En una serie de experimentos usando resonancia magnética funcional, los investigadores comprobaron que la reacción cerebral era más intensa de lo habitual en centenares de sujetos cuando se les mostraban caras de personas asustadas. Ninguno de los sujetos sufría problemas psiquiátricos.

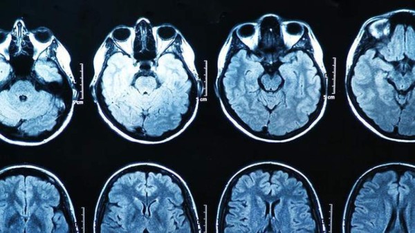
5

Cerebro encogido

Muchos estudios dirigen que la causa es el trauma por los atentados.
La cantidad de materia gris de los centros cerebrales que regulan las emociones se redujo considerablemente en los adultos que se encontraban cerca del World Trade Center durante el ataque terrorista, según un estudio publicado en la revista especializada Neuroimagen en abril de 2008. El descenso en el volumen de materia gris podría ser una respuesta normal del cerebro ante un trauma, según concluía Barbara Ganzel, coautora del trabajo.