15/01/2026
12:01 AM

Extraen tapón de bolígrafo del pulmón de un niño en el Catarino Rivas

  • Actualizado: 05 diciembre 2019 /

El objeto extraño estuvo dos años en el cuerpo del menor.

San Pedro Sula, Cortés.

En el hospital Mario Catarino Rivas, un cuerpo de cirujanos extrajo un tapón de bolígrafo que por espacio de dos años estuvo alojado en los bronquios de un menor de 12 años.

“Lo curioso es que el menor mantuvo ese tapón de bolígrafo dos años en sus bronquios”, dijo Julio Ortega, neumólogo pediatra del Mario Rivas.

Dato
260 operaciones para extraer objetos de niños se han realizado en el Mario Catarino Rivas, según la Secretaría de Salud.
En el reciente pasado se han registrado unos cinco pacientes, todos menores de dos años, con cuerpos extraños con más de un año dentro de los bronquios, recordó.

Lea también:Amplían por cinco años más la concesión del Palmerola International Airport

Reconoció que siempre los padres han informado sobre esos casos, “pero nosotros hemos cometido el error de ignorarlos”. Todo pasa factura, si hay un cuerpo extraño en las vías respiratorias, tarde temprano causará daño, advirtió.

Foto: La Prensa

Ilustración del tapón después de ser extraído del cuerpo del adolescente.

-Factura-

El galeno mencionó que cuando algo así ocurre, el niño empieza a toser, con cansancio, silbidos y neumonías repetitivas. “Es ahí en donde nosotros debemos sospechar que el menor puede tener algo extraño en su interior”, comentó.

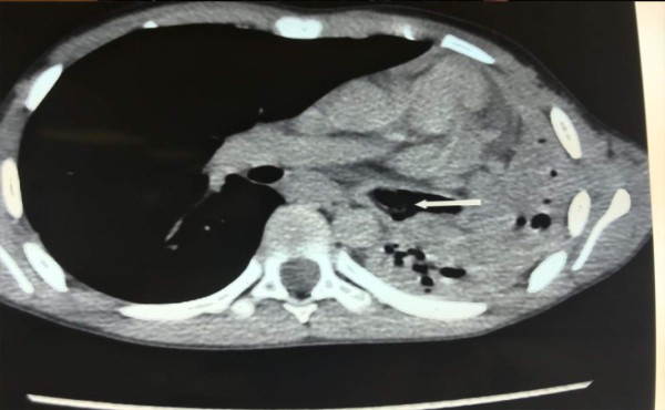
Foto: La Prensa

Radiografía muestra el punto exacto donde se encontraba el tapón de bolígrafo.

“El único procedimiento para descartar o confirmar el caso es a través de una broncoscopía, hay dos tipos de broncoscopía: la rígida y la flexible, nosotros realizamos las dos, apoyados por unos monitores y cámaras, pues era delicada la intervención”, señaló.

En este caso era un tapón de pluma, pero en el pasado se han extraído frijoles, ganchos, clavos, monedas, granos de café y pedacitos de plástico, entre otros, precisó.

Foto: La Prensa

El Catarino Rivas ya ha recibido casos similares al del menor con el tapón de bolígrafo dentro de su cuerpo.