El Hospital Escuela Universitario (HEU) de Honduras se agenció una donación de un equipo médico llamado 'neuronavegador' a través de la fundación alemana 'Rigth Brain'.
El hospital hondureño estará a la vanguardia en la utilización de tecnología de avanzada para el abordaje quirúrgico de lesiones cerebrales en los pacientes cuyo costo asciende a unos 250 mil dólares, casi seis millones de lempiras.
La fundación alemana ' Rigth Brain' , que en castellano significa 'cerebro correcto', lanzó el ofrecimiento internacional a hospitales públicos del mundo. Fue así como el HEU participó y por atender a pacientes con escasos recursos económicos y realizarlas intervenciones cerebrales de manera gratuita, fue seleccionado.
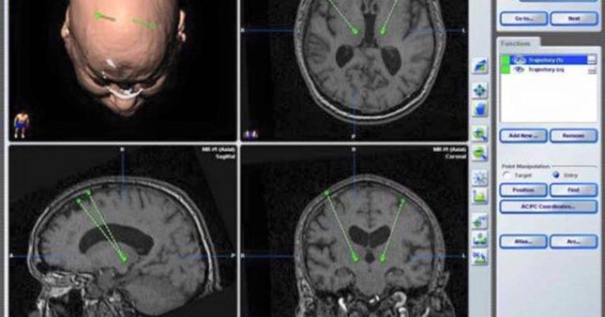
Con satisfacción el director general del HEU, Tulio Murillo firmó el convenio de donación y expresó que ' el equipo a través de una antena enlaza las imágenes del cerebro a través del GPS lo que permite hacer cirugías con alta precisión donde milímetros puede ser la gran diferencia '.
El también neurocirujano explicó que con neuronavegador se puede llegar a las lesiones mas pequeñas del cerebro sin hacer abordajes quirúrgicos amplios e invacivos lo que acorta los días de hospitalización y recuperación del paciente. Murillo adelantó que con el nuevo dispositivo se harán unas dos cirugías cerebrales a la semana.
19/12/2025
04:08 PM
Hospital Escuela gana donación de moderno equipo médico 'neuronavegador'
- Actualizado: 26 julio 2016 /
El hospital hondureño estará a la vanguardia en el uso de tecnología para el abordaje quirúrgico de lesiones cerebrales.
El hospital hondureño estará a la vanguardia en el uso de tecnología para el abordaje quirúrgico de lesiones cerebrales.
Tegucigalpa, Honduras.