27/12/2025
10:44 PM

"Las imágenes que muestran el daño de la microcefalia en bebés"

  • Actualizado: 24 agosto 2016 /

"

Un estudio muestra los daños del microcefalia en los cerebros de los bebés afectados.

"

"

Río de Janeiro, Brasil.

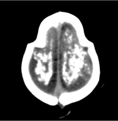
Un grupo de investigadores brasileños difundieron un estudio que revela imágenes computarizadas, resonancias magnéticas y ultrasonidos, de bebés y fetos infectados con el virus del zika, evidenciando que el daño al cerebro de los menores es mucho mayor del que se anticipaba.

La radióloga brasileña Fernanda Tovar-Moll, que participó en la investigación publicada en la revista Radiology, afirmó que 'hay bebés con cabezas de tamaño normal, pero con cerebros que no lo son. Hay bebés que donde debía haber un cerebro ahora hay solo líquido y casi no tienen tejido cerebral. La microcefalia es solo la punta del iceberg'.

Secuela
Las autoridades sanitarias de Brasil estiman que aproximadamente el 90% de los niños con microcefalia y otras enfermedades degenerativas derivadas del zika sufrirán de algún tipo de discapacidad mental.
Para realizar este estudio, liderado por la doctora Patricia Soares de Oliveira, quien descubrió el vínculo entre el zika y la microcefalia en Brasil, los expertos escanearon los cerebros de 45 bebés brasileños cuyas madres fueron afectadas por el virus en el estado de Paraíba, donde el brote fue más severo.

"

"

El zika causa microcefalia al desviar una proteína clave en la división celular neural del feto en desarrollo.
Las imágenes muestran el efecto devastador que la microcefalia causa en los cerebros de los menores. En algunos casos, los cráneos de los bebés colapsaron debido a que el cerebro dejó de crecer.

En varios de los bebés examinados, la escala de severidad del daño variaba de mayor a menor. Los exámenes mostraron que varios de los pacientes tenían afectado el cerebelo, clave para el movimiento, equilibrio y habla. Varios bebés también tenían problemas para tragar y comer.

La Organización Mundial de la Salud (OMS) declaró el pasado 1 de febrero que las malformaciones congénitas (sobre todo microcefalia) y los trastornos neurológicos (Síndrome de Guillian-Barré) ligados al contagio del zika constituían una emergencia sanitaria de alcance internacional, pero descartó incluir como tal el brote en sí mismo.

"

"

En la imagen un feto de 24 semanas de gestación muestra el cráneo colapsado, luego de que su cerebro dejará de crecer a causa del virus del zika.


Lo más alarmante sobre el actual brote de zika, que afecta principalmente a América Latina y al Caribe, es su vinculación con la microcefalia, una afección por la que la cabeza de los bebés o niños pequeños tiene un tamaño menor al normal y que puede acarrearles problemas de desarrollo.

El zika es un virus que se transmite por la picadura de mosquitos vectores del género Aedes, como el dengue y el chikunguña, y cuyos síntomas son similares pero más leves: sarpullido, fiebre ligera, dolor muscular y de las articulaciones.

"

Foto: La Prensa

"

Esta radiografía muestra el cerebro de un feto afectado a las 20 semanas de gestación.


Muchas personas infectadas con zika no acuden al médico al no presentar síntomas o confundir estos con los de un resfriado o una gripe, lo que complica el seguimiento del virus por parte de las autoridades sanitarias.




"