Honduras logra primeros embriones usando Triptorelina

El ginecólogo Eduardo Bueso usa este método en mujeres que han perdido la esperanza de embarazarse por padecer de ovarios poliquísticos. Honduras es el segundo país de CA con este avance

  • Actualizado: 03 jun 2020

San Pedro Sula, Honduras.

El deseo de ser madre, de tener y cuidar de los hijos llega a casi todas las mujeres en algún momento de sus vidas, y aunque muchas logran cristalizar ese sueño rápidamente, hay quienes están luchando por tener un bebé entre sus brazos.

En Honduras entre el 8% y 10% de las mujeres sufren del síndrome de ovarios poliquísticos, uno de los mayores problemas que impide la maternidad y que es hereditario del tipo autosómica recesiva.

Las mujeres con este síndrome pueden tener períodos menstruales con poca frecuencia o prolongados, niveles excesivos de hormona masculina (andrógeno) y forman acumulaciones pequeñas de líquido (microquistes) en los ovarios y estos producen ausencia o retraso de la ovulación.

EXPERTO
Especialista en Ginecología
Eduardo Bueso

Foto: La Prensa


Es indispensable que las mujeres hagan ejercicios y cuiden su peso, la obesidad y el mal estilo de vida son factores que impide para que una mujer salga embarazada.
Sin embargo, con los avances médicos surgen nuevas esperanzas para quienes por años se han sometido a tratamientos para lograr un embarazo.

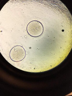
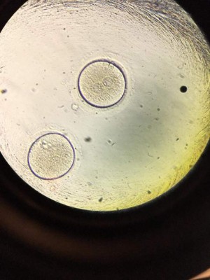
“Ya se lograron los primeros embriones utilizando triptorelina (Gonapeptyl; el cual es un antagonista de la hormona Gnrh), esto ocurrió en marzo de este año en medio de la pandemia y se logró aquí en el Hospital del Valle de San Pedro Sula. A nivel de Centroamérica, Honduras se convierte en el segundo país con este avance, con el cual se podrá evitar el síndrome de hiperestimulación ovárica, que es una respuesta aumentada al exceso de hormonas (estradiol)”, dice Eduardo Bueso, un destacado ginecólogo hondureño, el primero en haber logrado nacimientos de bebés in vitro en el país.



El especialista dice que normalmente las mujeres con ovarios poliquísticos reciben el tratamiento con metformina combinada con un inductor de la ovulación (letrozole), pero algunas tienen un síndrome severo y necesitan fertilización in vitro; por lo que el uso de la triptorelina inyectable por vía sub cutánea una sola vez aumenta el porcentaje y la probabilidad de quedar embarazada, debido a que hay más embriones.

“Las pacientes con ovarios poliquísticos no metabolizan bien los hidratos de carbono y por ello la mayoría tiende al sobrepeso, además hay aumento de andrógenos por lo cual aparece hirsutismo (vellos) y acné; también presentan problemas con la hormona luteinizante (LH) que controla el ciclo menstrual y por ello muchas pacientes no ovulan”, comenta.

Además: Conozca porqué la COVID-19 está hiperpigmentando la piel de los contagiados

Es relevante señalar que se debe procurar no efectuar procedimientos laparoscópicos en estas pacientes, porque son invasivos y la metformina combinada con el inductor de la ovulación tiene mejores resultados. El 4 de junio se celebra el Día Mundial de la Fertilidad.

Happy baby girl.

Unos 70 millones de personas en el mundo que tienen problemas para concebir.


La mejor edad

La mejor edad para tener hijos, según el especialista, es entre 18 a 25 años, lo que ha venido a generar problemas, ya que la mujer está buscando tener hijos un poco tarde. De los 38 años en adelante la capacidad de reproducir o fecundar disminuye por dos razones: la primera, porque la calidad y la cantidad de los óvulos cambia y la segunda, el útero se va volviendo fibroso.

La mujer nace con un número de óvulos de entre 2 a 3 millones, a los 12 años tienen 450,000 óvulos, pero llegando a los 40 años, la cantidad es entre 4,000 o 5,000; además, a los 40 años uno de cada tres óvulos tiene anomalías cromosómicas porque la calidad ha sido alterada, lo cual hace más difícil lograr un embarazo.

¿Qué hacer?

La infertilidad es un problema de pareja, pero el 90% a 95% de los problemas se corrigen. El 48% de las veces el problema está en el varón, el 52% en la mujer y el 25%, en ambos, comenta el especialista.

Cuando se tiene más de un año de vida sexual activa, o sea 2 o más relaciones sexuales por semana sin métodos de planificación, hay un problema de esterilidad y si la mujer es mayor de 35 años, el plazo es de 6 meses.

Sobre el tratamiento

1.- Deben practicarse una serie de exámenes para detectar la causa. Se hace un estudio a nivel primario; en el caso del hombre se requiere de espermograma que se hace con un tiempo de abstinencia sexual de entre 3 a 7 días.

2.- En el caso de la mujer se necesita un ultrasonido endovaginal y se practica cuando está fértil para establecer si está ovulando o no, allí mismo se realiza la evaluación del útero para descartar la presencia de miomas y pólipos, además se observa el grosor del endometrio que es la parte interna del útero donde se implanta el embrión.

3.- En el mismo ultrasonido se efectúa la evaluación de la reserva ovárica, lo cual se hace con el conteo de los folículos antrales.

4.- Otra prueba que se debe hacer en la mujer es comprobar la permeabilidad de las trompas de falopio con un estudio radiológico llamado histerosalpingografía.

Foto: La Prensa

Una fotografía de los primeros embriones a base de Triptorelina.

Tómelo en cuenta

Cuando se busca la causa médica, el estudio de la esterilidad se hace por los siguientes factores:

1) Factor masculino que implica el 40%.

2) Factor cervico-espermático(es la interacción de los espermatozoides en el cuello uterino), implica un 5%.

3) Factor uterino(si existe algún problema en el útero, como ser miomas o polipos), implica un 5%.

4) Factor tubárico y peritoneal( es la valoración de las trompas de falopio para descartar también la presencia de endometriosis), implica un 30%.

5) Factor endocrino ovárico, que influye un 20%.