27/02/2026
09:28 PM

Imágenes muestran como quedan los pulmones en pacientes con coronavirus

  • Actualizado: 24 marzo 2020 /

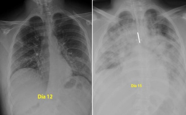
Las imágenes son de un paciente infectado de 28 años.

Nueva York, Estados Unidos

Un tuit que muestra la comparación de dos radiografías de tórax supuestamente afectado por una neumonía provocada por el nuevo coronavirus ha sido compartido más de 70.000 veces en distintas redes sociales.

El mensaje asegura que las imágenes son de un paciente infectado de 28 años. Médicos especialistas consultados por AFP Factual señalaron que las imágenes son compatibles con la evolución de la neumonía en un paciente con COVID-19 de esa edad.


“Para los que se creen inmortales y siguen saliendo al parque sin hacer caso a la orden de permanecer en domicilio, estas son las radiografías de un chico de 28 años intubado en la UCI en mi hospital por #coronavirus. Pista: los pulmones es lo negro, lo blanco es neumonía”, dice el tuit del 15 de marzo pasado, fecha desde la cual se ha retuiteado más de 70.000 veces.

El mensaje también ha circulado en Facebook (1, 2, 3) e Instagram.

lgunas respuestas al tuit o comentarios de las publicaciones dudan de la veracidad de las afirmaciones o de las imágenes: “Como me aseguras que no sea una foto de archivo y sólo estés propiciando la paranoia, la cual es peor que la falsa pandemia (sic.)”, dice uno. Otro lanza una pregunta al autor de una de las publicaciones: “Verificas las fuentes antes de publicar? Se pide no difundir bulos e información no contrastada.... (sic.)”.

AFP Factual trató de contactar con el autor del tuit original, que se presenta como médico, sin obtener respuesta hasta la publicación de este artículo.

Una búsqueda inversa de las radiografías en Google no arrojó resultados de las mismas con fecha anterior a la del tuit, el 15 de marzo.

Para confirmar la verosimilitud del caso, el equipo de verificación de la AFP consultó con diferentes especialistas médicos.

* Gemma Solana, del departamento de radiología torácica del Hospital Universitario Mútua de Terrassa (Barcelona), aseguró: “Desde hace una semana tenemos muchos casos de contagiados por COVID-19 con el primer tipo de placa, y vemos que los casos progresan. En el hospital estamos viendo que una evolución como la que muestran las imágenes [NDLR: de tres días] puede darse incluso en horas, por lo que las imágenes son compatibles con ese tiempo de evolución”.

“También hay que tener en cuenta que, sobre todo, hacemos radiografías a los casos más complicados, y que no todos los afectados por la enfermedad presentan estas afectaciones”, añade.

Solana también afirma que el cuadro médico podría ser compatible con un paciente de 28 años, tal y como afirma la publicación viral: “No se puede determinar, pero el corazón que se ve en las placas es pequeño, puede ser de una persona joven”.

* Por su parte, Miguel Ángel de la Cámara, técnico especialista en radiodiagnóstico del Hospital Siberia Serena de Badajoz y colaborador del portal español Salud sin bulos, señaló también vía telefónica: “Las imágenes muestran un caso de neumonía que se puede dar tanto con coronavirus como sin él. Ese tipo de evolución en positivos de COVID-19 se está dando en casos de mayor edad, pero tampoco podemos descartar que se trate de un paciente joven, que pueda tener una mayor susceptibilidad”.

Por “mayor susceptibilidad”, De la Cámara se refiere a pacientes que tengan “problemas respiratorios previos”, “hábitos como fumar” o “condicionantes genéticos”.

“La capacidad pulmonar disminuye con la edad, pero igual que pueden darse casos de pacientes con cáncer de pulmón que nunca hayan fumado, pueden darse casos de una neumonía como la de las imágenes en pacientes jóvenes con coronavirus que sean más susceptibles”, apunta.

* Consultado sobre las imágenes, el presidente de la Sociedad Uruguaya de Neumología, Juan Pablo Salisbury, asegura que “es posible” que se trate del cuadro de un paciente de 28 años con COVID-19.

* En el mismo sentido se expresa el doctor Mauricio Hernán Ruiz Carmona, especialista broncopulmonar del Hospital Clínico de la Universidad de Chile (Santiago): “Es compatible con cualquier infección viral grave como coronavirus, influenza, hanta, etc., y puede ser fulminante”.

Carmona también coincide con los demás expertos en que la evolución que se muestra en las imágenes es “posible” en tres días, como aseguran las publicaciones en redes.

En conclusión, las imágenes difundidas son compatibles con una rápida evolución de una neumonía provocada por COVID-19 en un paciente joven, según confirman cuatro expertos médicos en la materia.